Μεγάλου εύρους μελέτη έδειξε ότι τα άτομα που καταναλώνουν σε τακτική βάση τόσο αναψυκτικά με ζάχαρη όσο και light αναψυκτικά αντιμετωπίζουν σημαντικά αυξημένο κίνδυνο εμφάνισης προβλημάτων στο ήπαρ.
Μελέτη σε χιλιάδες ενηλίκους
Στο πλαίσιο της μελέτης, που παρουσιάστηκε στο ετήσιο συνέδριο γαστρεντερολογίας UEG Week 2025 το οποίο έλαβε προσφάτως χώρα στο Βερολίνο, παρακολουθήθηκαν 123.788 ενήλικοι της βιοτράπεζας UK Biobank. Κανένας από τους συμμετέχοντες δεν εμφάνιζε ηπατική νόσο στην αρχή της μελέτης. Οι ερευνητές κατέγραψαν τις καθημερινές συνήθειες των εθελοντών σε ό,τι αφορούσε την κατανάλωση αναψυκτικών μέσω επαναλαμβανόμενων ερωτηματολογίων τα οποία τους χορηγούσαν.
Μεγάλος κίνδυνος για στεατική ηπατική νόσο
Με βάση τα ευρήματα, τα άτομα που κατανάλωναν περισσότερα από 250 γραμμάρια αναψυκτικών την ημέρα, είτε αυτά ήταν ζαχαρούχα είτε light, αντιμετώπιζαν σημαντικά αυξημένους (ηπατικούς) κινδύνους – μάλιστα όσοι έπιναν light αναψυκτικά διέτρεχαν ακόμη μεγαλύτερους κινδύνους: συγκεκριμένα παρατηρήθηκε αύξηση κατά 60% των πιθανοτήτων εμφάνισης μεταβολικής δυσλειτουργικής στεατικής ηπατικής νόσου (MASLD) για τα άτομα που κατανάλωναν light αναψυκτικά και κατά 50% για όσους έπιναν αναψυκτικά με ζάχαρη.
Τα ευρήματα θέτουν υπό αμφισβήτηση την κοινή πεποίθηση ότι τα αναψυκτικά διαίτης είναι αβλαβή
Κατά τη διάρκεια 10,3 ετών μέσης παρακολούθησης 1.178 άτομα παρουσίασαν MASLD και 108 απεβίωσαν από προβλήματα που σχετίζονταν με το ήπαρ. Και ήταν αξιοσημείωτο το γεγονός ότι ενώ τα αναψυκτικά με ζάχαρη δεν φάνηκε να σχετίζονται σημαντικά με τη θνητότητα εξαιτίας ηπατικών παθήσεων, η κατανάλωση light αναψυκτικών φάνηκε να έχει ισχυρή σύνδεση με αυτή. Επιπλέον τόσο τα αναψυκτικά με ζάχαρη όσο και εκείνα χωρίς ζάχαρη φάνηκε να συνδέονται με υψηλότερα επίπεδα συσσώρευσης λίπους στο ήπαρ.
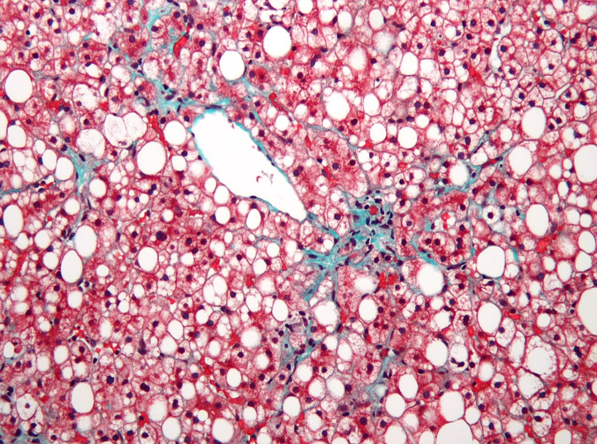
Τι είναι η MASLD
Η MASLD η οποία μέχρι προσφάτως ονομαζόταν μη αλκοολική λιπώδης νόσος του ήπατος αφορά συσσώρευση περιττού λίπους στο ήπαρ. Μακροπρόθεσμα η κατάσταση αυτή μπορεί να πυροδοτήσει φλεγμονή (ηπατίτιδα) και να εκδηλωθεί με συμπτώματα όπως οι πόνοι στην κοιλιακή χώρα, η κόπωση και η απώλεια της όρεξης. Η MASDL αποτελεί την πιο κοινή χρόνια ηπατική πάθηση παγκοσμίως πλήττοντας ποσοστό μεγαλύτερο του 30% του πληθυσμού ενώ μετατρέπεται ταχέως σε κύρια αιτία θανάτου από ηπατικά αίτια.

Λευκές συσσωρεύσεις λίπους σε ήπαρ ασθενούς με MASLD (Wikimedia Commons / CC BY-SA 3.0)
Ευρεία κατανάλωση, ελλιπής γνώση για τις επιδράσεις στο ήπαρ
Όπως ανέφερε ο κύριος συγγραφέας της μελέτης, μεταδιδακτορικός ερευνητής στο MD Anderson Κέντρο για τον Καρκίνο στο Χιούστον του Τέξας Λίχε Λιου «τα αναψυκτικά με ζάχαρη έχουν μπει εδώ και καιρό κάτω από το μικροσκόπιο ενώ οι ‘διαιτητικές’ εναλλακτικές τους θεωρούνται συχνά ως μια πιο υγιεινή επιλογή. Σε κάθε περίπτωση τόσο τα αναψυκτικά με ζάχαρη όσο και τα light αναψυκτικά καταναλώνονται ευρέως και οι επιδράσεις τους στην υγεία του ήπατος δεν έχουν γίνει καλά κατανοητές».
Κίνδυνος και με ένα κουτάκι light αναψυκτικού την ημέρα
Ο ερευνητής τόνισε ότι «η μελέτη μας έδειξε πως τα light αναψυκτικά φάνηκε να συνδέονται με υψηλότερο κίνδυνο MASLD ακόμη και μετά από μέτρια κατανάλωση που αντιστοιχούσε σε ένα κουτάκι αναψυκτικού την ημέρα. Τα ευρήματα αυτά θέτουν υπό αμφισβήτηση την κοινή πεποίθηση ότι τα αναψυκτικά διαίτης είναι αβλαβή και υπογραμμίζουν την ανάγκη να επαναπροσδιορίσουμε τον ρόλο τους στη διατροφή και στην υγεία του ήπατος, με δεδομένο μάλιστα ότι η MASLD αναδύεται ως σημαντική απειλή για την υγεία του παγκόσμιου πληθυσμού».
Τα βιολογικά αίτια
Ο δρ Λιου περιέγραψε και τα πιθανά βιολογικά αίτια πίσω από τα νέα αποτελέσματα: «Η υψηλή περιεκτικότητα σε ζάχαρη των ζαχαρούχων αναψυκτικών μπορεί να προκαλέσει απότομη αύξηση της γλυκόζης του αίματος και της ινσουλίνης, να προάγει την αύξηση του βάρους και να αυξήσει τα επίπεδα ουρικού οξέος – όλα αυτά συμβάλλουν σε συσσώρευση λίπους στο ήπαρ. Από την άλλη πλευρά, τα αναψυκτικά διαίτης μπορούν να επηρεάσουν την υγεία του ήπατος αλλάζοντας το μικροβίωμα του εντέρου, σταματώντας το αίσθημα κορεσμού, πυροδοτώντας λιγούρες, ακόμη και ενεργοποιώντας την έκλυση ινσουλίνης».
Πιείτε νερό για μείωση του κινδύνου
Οι συγγραφείς της μελέτης τόνισαν πως τα καινούργια ευρήματα δείχνουν ότι απαιτείται περιορισμός της κατανάλωσης τόσο των αναψυκτικών με ζάχαρη όσο και των αναψυκτικών διαίτης στο πλαίσιο μιας προληπτικής στρατηγικής που στοχεύει στην καλύτερη υγεία όχι μόνο του ήπατος αλλά και της καρδιάς και των νεφρών. Συγκεκριμένα οι ερευνητές είδαν ότι η αντικατάσταση τόσο των ζαχαρούχων αναψυκτικών όσο και των light αναψυκτικών με νερό μείωνε τον κίνδυνο MASLD – κατά 12,8% σε ό,τι αφορούσε τα αναψυκτικά με ζάχαρη και κατά 15,2% σε ό,τι αφορούσε τα αναψυκτικά διαίτης. Την ίδια στιγμή η αντικατάσταση του ενός τύπου αναψυκτικού με τον άλλο δεν φάνηκε να προσφέρει μείωση του κινδύνου MASLD.
Όπως υπογράμμισε ο δρ Λιου «η πιο ασφαλής προσέγγιση είναι ο περιορισμός τόσο των αναψυκτικών με ζάχαρη όσο και εκείνων με τεχνητά γλυκαντικά. Το νερό παραμένει η καλύτερη επιλογή καθώς βοηθά τον μεταβολισμό και προλαμβάνει τη συσσώρευση λίπους στο ήπαρ ενώ παράλληλα ενυδατώνει το σώμα».
Τα επόμενα βήματα
Επόμενο βήμα για την ερευνητική ομάδα είναι να διεξαγάγει κλινικές δοκιμές αλλά και γενετικές μελέτες προκειμένου να δώσει απάντηση στο πώς η ζάχαρη αλλά και τα υποκατάστατά της αλληλεπιδρούν με το μικροβίωμα του εντέρου και επηρεάζουν το ήπαρ.
Πηγή in.gr